Blog

Nos derniers articles...

  • Mar 27, 2025

Nouvelle technique pour le traitement chirurgical de la rupture du ligament croisé crânial chez le chien et le chat avec un implant synthétique à fibres libres

Le concept : la reconstruction du ligament rompu lui-même.

Il ne s’agit pas de traiter la laxité par une chirurgie compensatrice, mais de résoudre le problème à sa base, en reconstruisant le ligament rompu lui-même et viser à rétablir la stabilité du grasset dans toutes les positions par une technique peu in... Lire l'article

  • Mar 18, 2025

Le microbiome a-t-il un impact sur la fonction rénale ?

Le microbiote intestinal est, depuis quelques années, au cœur des discussions en médecine humaine, mais aussi en médecine vétérinaire.

Il joue un rôle clé dans la digestion, l’immunité et la protection contre les pathogènes. Mais pourrait-il également influencer la fonction rénale ? Les dernières études semblent le confirmer... Lire l'article

  • Mar 11, 2025

Ostéoarthrose et anti-inflammatoires lors de maladie rénale

L’ostéoarthrose est une pathologie courante chez le chat sénior. On estime qu'à partir de 6 ans, 60 % des chats auront au moins une articulation atteinte d'ostéoarthrose, et ce pourcentage augmente jusqu’à 80 % chez les chats de plus de 14 ans. Cette affection est souvent accompagnée de douleurs, ce qui rend les anti-inflammatoire... Lire l'article

  • Mar 04, 2025

L'impact de l'hyperthyroïdie sur la fonction rénale

L'hyperthyroïdie et la maladie rénale chronique sont deux affections fréquemment rencontrées par le clinicien. Chez le chat sénior, il n’est pas rare de découvrir une combinaison de ces deux pathologies.

Le problème : la créatinine est souvent sous-estimée chez le chat hyperthyroïdien. Après le traitement de... Lire l'article

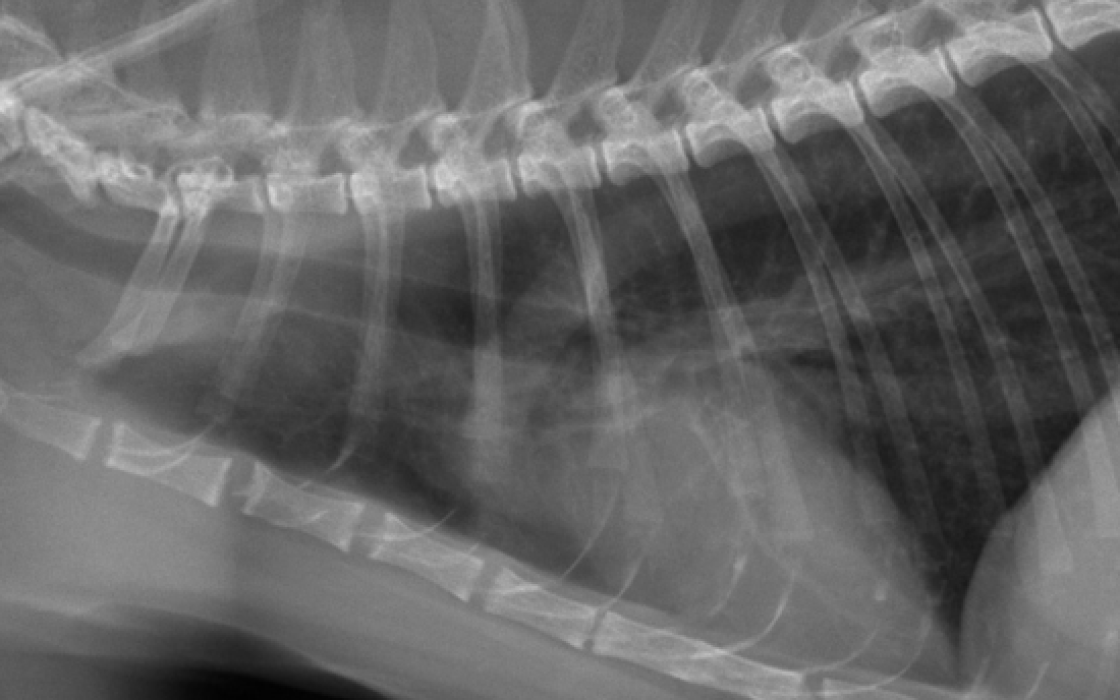
  • Feb 27, 2025

Les patterns pulmonaires à la radiographie

Les maladies pulmonaires chez le chien et le chat se traduisent généralement par une augmentation ou une diminution de l'opacité radiographique des poumons. Ces changements d’opacité donnent lieu à une catégorisation sous forme de « pattern pulmonaire ». Les patterns étant peu sensibles et peu spécifiques, identifier et localiser... Lire l'article

  • Feb 25, 2025

Créatinine, SDMA, FGF23 : évolution des marqueurs rénaux en médecine vétérinaire

La créatinine est largement utilisée en médecine vétérinaire pour évaluer la fonction rénale. Pourtant, elle présente des limites importantes. En effet, ce marqueur tardif n’augmente qu’après la perte de 75 % de la fonction rénale, retardant ainsi le diagnostic. De plus, d’autres facteurs, comme la masse musculaire, notamment chez... Lire l'article

1 2